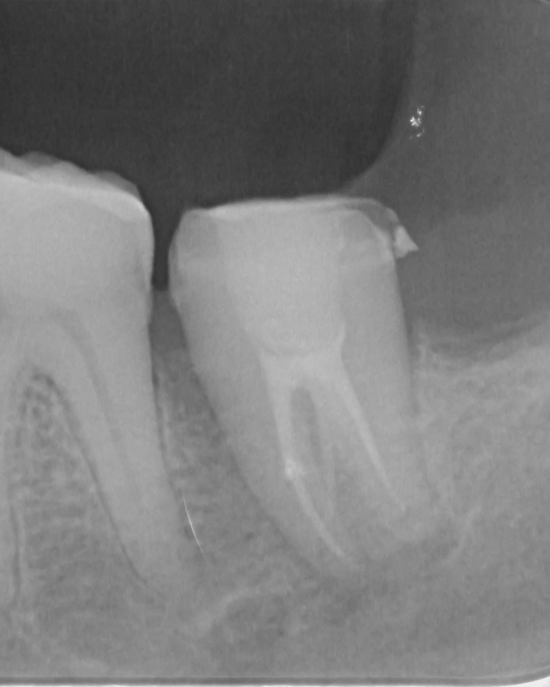
Perawatan saluran akar adalah salah satu perawatan yang berfungsi untuk menghilangkan atau memberhentikan sumber infeksi yang berkembang biak. Sering kali perawatan ini di sebut dengan perawatan saraf atau perawatan syaraf gigi, penggunaan nomenklatur ini dirasa kurang tepat. Tujuan lain dari perawatan saluran akar selain menghilangkan infeksi, perawatan saluran akar bertujuan mempertahankan gigi semaksimal mungkin didalam rongga mulut. Root Canal Treatment or Root Canal Therapy are The process of removing an infected, inflamed, or necrotic pulp and filling the residual space with an inert material. Access must first be gained to the pulp chamber and root canal system; the pulp canals are then measured and the pulp tissue and any infected material removed; the canals are then shaped, irrigated, and cleaned of debris; the root canals are obturated with a root filling material such as gutta-percha and a sealant, and finally a coronal seal placed to prevent bacteria from the mouth entering the root canal system. thank you for eighteeth dental and revoden asia using fast fill and fast pack to fiilling a root canals for more info you can visit my instagram https://www.instagram.com/furqan_rizal/ or contact my clinic +6281219972701
This Is Me
Perawatan Saluran Akar Dokter Gigi Spesialis Konservasi Gigi
seorang dokter gigi spesialis konservasi gigi yang sangat mencintai pekerjaan dan keluarganya, yang terus berusaha memperbaiki diri dalam segala hal..amiin
-
Recent Posts
- case 18 : Perawatan Saluran Akar Dengan MB2 Root Canal Treatment with MB2 by Drg. M. Furqan, SpKG
- case 17: Class 2 restoration, tambalan gigi KELAS 2 gigi 24 oleh drg. M Furqan SpKG
- case 16: root canal from zero to end perawatan saluran akar by drg m furqan spkg @riosuryantoro
- case 15: anesthesia intra pulpa in root canal treatment by drg m furqan spkg (complete version) @riosuryantoro perawatan saluran akar bukan perawatan saraf gigi
- case 14: looking for MB2 in first molar perawatan saluran akar spesialis konservasi spkg Tangerang @riosuryantoro
Archives
Recent Comments
Perawatan Saluran Ak… on case 2: Another Crack Tooth wi… Gina Lasiasari on case 2: Another Crack Tooth wi… Visit Instagram For More Personal
No Instagram images were found.
-
Recent Posts
- case 18 : Perawatan Saluran Akar Dengan MB2 Root Canal Treatment with MB2 by Drg. M. Furqan, SpKG
- case 17: Class 2 restoration, tambalan gigi KELAS 2 gigi 24 oleh drg. M Furqan SpKG
- case 16: root canal from zero to end perawatan saluran akar by drg m furqan spkg @riosuryantoro
- case 15: anesthesia intra pulpa in root canal treatment by drg m furqan spkg (complete version) @riosuryantoro perawatan saluran akar bukan perawatan saraf gigi
- case 14: looking for MB2 in first molar perawatan saluran akar spesialis konservasi spkg Tangerang @riosuryantoro
Recent Comments
Perawatan Saluran Ak… on case 2: Another Crack Tooth wi… Gina Lasiasari on case 2: Another Crack Tooth wi… Archives
Categories












